はじめに
一般歯科においても普及が進んでいるパノラマ併用型CT撮影機によって取得された三次元画像は、より精密な診断と正確な治療計画の立案を強力にサポートします。
このような高度な画像診断を活用する上で、歯科衛生士による患者への説明・準備・一部の操作補助は非常に重要な役割を果たします。
また、撮影の原理を理解し、画像情報を把握した上で治療計画の説明をサポートすることも、歯科衛生士に求められる大切な業務の一つです。
本コラムでは、CT・パノラマ複合機の活用に欠かせない「ポジショニング」のポイントについて解説していきます。

歯科用CT・パノラマ撮影の流れ
世界トップクラスのシェアを誇る、韓国発の歯科用レントゲン・CT機器メーカー『Vatech(バテック)』。今回は、その英知を集結させた「Green X 12(グリーン・エックス トゥエルブ)」を参照に解説していきます。
① 説明
まず患者さんに、撮影の必要性と目的をわかりやすく伝えます。
- パノラマ:歯・骨・病変の全体像の確認
- CT:口腔内や顎骨を3Dで把握
「説明」でのPOINT
被ばくに不安を抱く患者さんには、医科用CTより放射線量が少ないこと(0.01~0.1 mSv程度)を伝え、安心感を与えることが重要です。
比較:胸部レントゲン(約0.5mSv)、医科用CT(2.0mSv以上)
例え:東京からニューヨークまで飛行機で移動したときに自然に浴びる放射線と同じくらい
② 撮影前準備
金属類は画像にアーチファクト(ノイズ)を生じさせるため、必ず取り外してもらいましょう。また、歯科撮影は胎児が直接受ける放射線量は極めて低いのが実情です。しかし、妊婦さんの中には念のため妊娠中はレントゲン撮影を控える方がいたり、歯科医院によっては方針も異なるため、妊娠の可能性は事前に確認を行いましょう。
「撮影前準備」でのPOINT
- ネックレス、眼鏡、ピアス、ヘアピンなどの装飾品、義歯、可撤式矯正装置は必ず外す
- 女性の場合は妊娠の可能性を事前に確認
③ 撮影範囲の設定
CT撮影では、症例に応じてFOV(Field of View:撮影範囲)を設定します。「Green X 12」では7種類のFOVから診断目的に合わせ最適な選択ができます。
マルチFOVセレクション

「撮影範囲の設定」でのPOINT(小児の場合)
- 初めての撮影で不安が強い場合は、窓越しに機械の動作を見せる
- 短時間撮影モードがあれば活用する
※『Vatech』のGreenモード搭載の機種では、最短3.9秒でのパノラマ撮影が可能です。
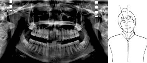
④ ポジショニング

1. レントゲン室へ患者さんを誘導し、防護エプロンを着用
2. 立位または座位で機器中央に入る
3. 顎が自然にのせられる高さに調整
4. 両手でレバーを握り、チンレストに顎をのせ、バイトブロックを前歯で噛む(またはロールワッテを使用)
「ポジショニング」でのPOINT
- 無理のない姿勢であること(姿勢が不安定だと体動や、回転中の機器に接触リスクあり)
- 頭部の傾き、顎の上げすぎ・引きすぎに注意
- 咬合平面が床と平行になるように調整
- 肩が「ショルダービーム*」に当たらないように調整(回転部分が肩に当たる場合は腕をクロスしてレバーを握ってもらう)
*ショルダービームは「GreenX12」と「GreenXPlus」のみ搭載
5. ヘッドアームで頭部をしっかり固定
6. 垂直線を正中に合わせる
7. 水平線をフランクフルト平面(耳孔と眼窩下縁を結ぶ線)に合わせる
8. 【パノラマ撮影】犬歯ガイドを犬歯中央に合わせる(機種により犬歯遠心の場合あり)
9. 撮影直前に指示
・唾を飲み込み、舌を上顎に付ける
・鼻呼吸をする
・目を閉じて動かない

⑤ 撮影
歯科医師または放射線技師の操作により撮影を行います。
⑥ 確認・保存
撮影後は目的部位がきちんと写っているか確認し、保存します。
「確認・保存」でのPOINT
【撮影画像でよくある問題点】
●フランクフルト平面のずれ
咬合平面が「へ字」にカーブ
→顎の上げすぎ、チンレストが高すぎる

咬合平面が「V字」にカーブ
→顎の引きすぎ、チンレストが低い

●正中線のずれ
左右非対称→顔が傾いている

●犬歯ガイドの位置のずれ
前歯部が縮小してぼやける
→後ろすぎる

前歯部が拡大してぼやける
→前すぎる

⑦ 撮影終了
『Vatech』の機種では、撮影開始時と終了時にアナウンス機能が搭載されており、閉鎖空間での安心感を高め、患者さん満足度の向上につながっています。
- ヘッドアームと防護エプロンを外し、患者さんを退室させる
- 使用機器の消毒
まとめ
レントゲン画像は「見えないものを可視化」する現代歯科診療において不可欠な診断ツールです。いかに高性能な機器であっても、適切なポジショニングが行われなければ鮮明で正確な画像は得られません。
一度の撮影で質の高い画像を取得できることは、診断精度の向上に寄与するだけでなく、不要な再撮影を防ぐことで被曝量を抑え、患者さんに安心・安全な診療環境を提供します。
日常の臨床において、診断精度を左右する「ポジショニング」の重要性を改めて見直していただければ幸いです。

『Vatech』/「Green X 12』製品詳細は
「Ciプロダクツ」サイトで掲載中
https://ci-products.com/merchandise/green-x-12/
製品お問い合わせ:https://ci-products.com/
